X

Doctors Find Tapeworm Larvae In Woman’s Brain After She Complained Of Headache For 7 Years

A 25-year-old woman in Australia that was suffering from regular severe headaches for 7 straight years found out that the reason behind all the pain was a tapeworm larva in her brain.

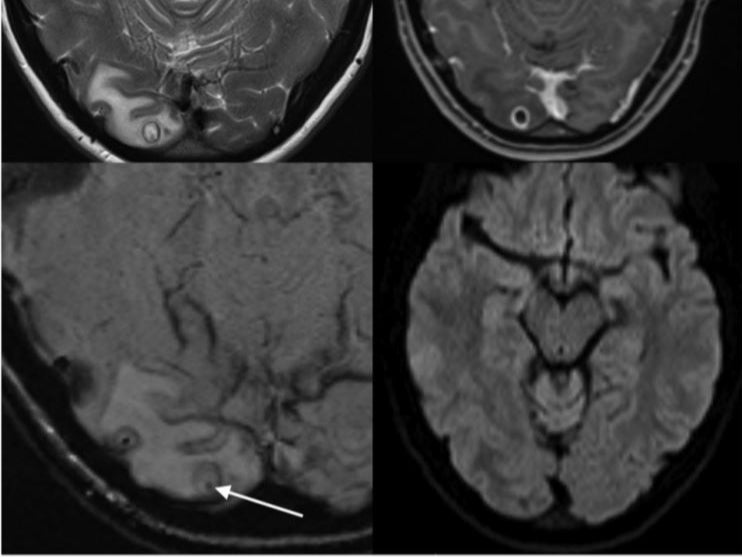
When she was checked out by the doctors, they found a cyst-like structure in her brain, but later after further diagnostics, they found out that the tumor-like cyst was something else.

It was later revealed that the woman had tapeworm larvae living inside her brain, which could be fatal at some point.

The unique and extremely rare case of the woman, who is 25, was published in The American Journal of Tropical Medicine and Hygiene on September 21.

This is the first native case of the parasite known as the neurocysticercosis (NCC).

The woman, who works as a barista, said that she had never been to a different country before. She said that she experienced migraines 2 or 3 times per month.

One of her migraines turned out so bad that she ended up having a headache for over 7 days.

The NCC also affected her vision, so she decided to get it checked out by an experts, who later diagnosed that she had a tumor in her brain.

Scans that were carried out showed that she had a cyst-like tumor in her brain, and after operation and biopsy, they found out that it was a cyst that was full of tapeworm larvae.

The woman’s surgery was a success and she is currently recovering.